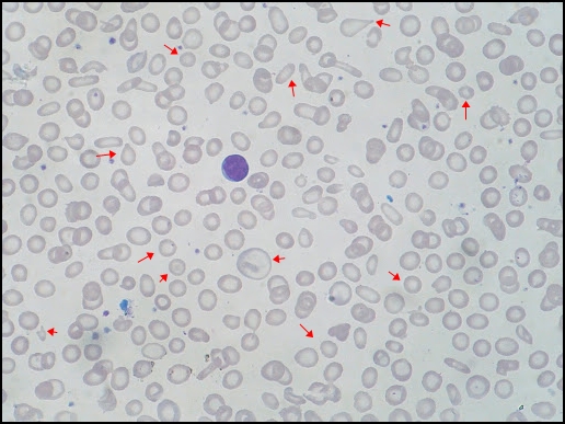
- Fisiopatologia: Alteração na síntese do grupo heme, causado pela deficiência de ferro no organismo.
Adaptado de LifeTrain, 2016
- Causas: Aumento da necessidade de produção dos glóbulos vermelhos, perda de sangue em excesso, má-absorção intestinal do ferro, dieta deficiente de ferro.
- Quadro clínico: fadiga, tonturas, palidez cutaneomucosa, PICA (sig: apetite por substâncias não alimentares como terra, solo, moeda e etc), glossite, coiloníquia (sig: alteração nas unhas).
- Hemograma: ↓ Ht, ↓ Hb, ↓ He, ↓VCM, ↓ HCM, ↓ CHCM, ↓ Rt.
- Bioquímica: ↓ Ferro, ↓Ferritina;
- Microscopia: hemácias microcíticas, hipocrômicas, anisocíticas e anisocrômicas.





Comentários
Postar um comentário